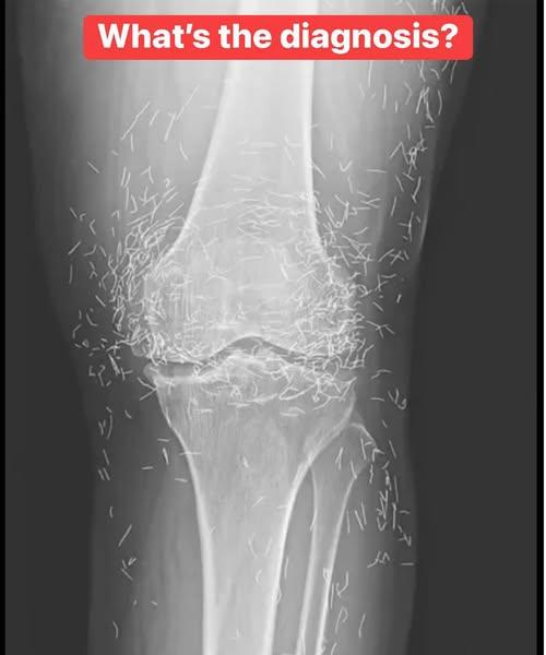
When a 65-year-old woman went in for an X-ray to uncover the cause of her unrelenting knee pain, doctors expected to see signs of arthritis. What they found instead left them stunned: hundreds of tiny gold acupuncture needles embedded deep inside her tissue — a hidden legacy from years of alternative treatment.
The woman, a resident of South Korea, had spent years battling chronic osteoarthritis, a condition that slowly wears down the cartilage and bones in joints, leading to swelling, stiffness, and debilitating pain. Like many older adults, she first turned to conventional treatments — pain relievers and anti-inflammatory medications — only to be met with limited relief and uncomfortable side effects.
But her story took an unusual turn when she sought out a more traditional healing method: acupuncture.
As revealed in a recent medical report published in the New England Journal of Medicine, this woman’s case isn’t just unusual — it’s a cautionary tale about the long-term risks of certain alternative therapies, especially when done without full medical oversight.
A Shocking Discovery Beneath the Skin
When radiologists reviewed the woman’s X-ray, they couldn’t believe their eyes. Her knees were peppered with countless specks of metallic glimmer — hundreds of gold acupuncture needles, permanently lodged under her skin.
Unlike typical acupuncture sessions, where thin needles are temporarily inserted and then removed after a short time, this particular technique left the needles in place indefinitely. The needles, believed to be made of sterile gold, were meant to provide “ongoing stimulation” to relieve pain and improve joint function.
This type of gold thread acupuncture is still practiced in some Asian countries as a treatment for osteoarthritis and other joint conditions, particularly in older patients who may not tolerate medications well. The idea behind it is simple but controversial: implant gold threads around painful joints to continuously stimulate healing energy.
But is it safe?
The Body Doesn’t Forget — And It Doesn’t Always Forgive
While the procedure might sound exotic or even cutting-edge, many medical professionals warn that leaving any foreign object inside the body can be dangerous.
Dr. Ali Guermazi, a professor of radiology at Boston University who was not involved in the case, explained the potential complications clearly.
“The human body wants to get rid of the foreign object,” Dr. Guermazi said. “It starts with some mechanism of defense — for example, inflammation, or forming fibrous tissue around the object.”
The consequences can range from mild irritation to more severe issues such as chronic inflammation, abscesses, or even infection. And while the woman in this case had no immediate life-threatening reactions, the long-term risks remained serious.
What’s more, the presence of those gold needles complicates future imaging tests, which are vital for diagnosing many age-related health conditions. X-rays can become difficult to interpret, and MRIs — a common and essential diagnostic tool — are often off-limits for patients with metal objects inside them.
“Needles left in the body may move during an MRI and potentially damage tissue or even rupture a nearby artery,” Guermazi warned.
Acupuncture and Arthritis: Ancient Therapy or Modern Risk?
Acupuncture has long been used in Eastern medicine and is gaining popularity in the U.S. among patients seeking drug-free alternatives for chronic pain, arthritis, and other conditions. According to the National Institutes of Health, more than 3 million American adults tried acupuncture in 2007 alone — a number that has likely increased as awareness of holistic healing has grown.
But experts remain cautious. Scientific evidence supporting acupuncture’s effectiveness remains limited, especially when it comes to treating osteoarthritis, one of the most common and debilitating joint conditions among seniors.
Still, many patients report subjective improvements in pain and mobility, and the placebo effect — where simply believing a treatment works can bring real relief — plays a significant role. But placebo or not, patients deserve to be fully informed about the potential risks and complications of any medical or alternative treatment.
And while short-term acupuncture sessions performed by licensed professionals are generally considered safe, leaving permanent foreign materials like gold threads or needles in the body introduces a whole new level of uncertainty.
When Pain Relief Becomes a Hidden Hazard
It’s not hard to understand why someone would go to such lengths. For people living with constant joint pain, especially older adults, the search for comfort can be exhausting. Medications come with side effects, surgeries can be risky, and physical therapy may take months to show results — if it helps at all.
In such a landscape, acupuncture — particularly traditional forms that promise lasting relief — can seem like a hopeful solution. But cases like this woman’s remind us that even well-intentioned treatments can have unintended consequences.
Imagine living with pain so persistent that you allow someone to implant gold needles deep inside your body. And then imagine finding out — years later — that those very needles are now preventing you from receiving safe, modern medical scans or treatments.
It’s a cruel irony: a procedure meant to ease suffering ends up creating a new set of risks that weren’t explained at the time.
What Older Adults Should Know About Alternative Therapies
For older Americans facing chronic conditions like arthritis, sciatica, or fibromyalgia, the appeal of non-invasive therapies like acupuncture is understandable — and growing. But experts say it’s crucial to take a few steps before undergoing any new treatment:
- Talk to your primary care physician: Before you try any alternative or complementary treatment, ask your doctor how it might interact with your medications or current health issues.
- Check the provider’s credentials: Only see licensed and experienced acupuncture practitioners. Ask whether they use temporary or permanent needle techniques.
- Understand the long-term effects: Especially with treatments involving implants or foreign materials, ask about imaging compatibility (X-ray, MRI), infection risks, and whether the materials will ever need to be removed.
Most importantly, don’t assume that “natural” means “risk-free.” Just like pharmaceutical drugs, alternative treatments carry their own benefits and dangers.
The Human Side of Chronic Pain
At the heart of this story is a woman who was simply trying to find peace from constant pain — a struggle many people over 60 know all too well.
Her decision wasn’t strange or foolish. It was human. When conventional treatments failed and her body ached with every step, she tried something else. Something ancient. Something she hoped would finally work.
And though her X-ray revealed a hidden mine of gold, it also revealed the unseen risks people take when pain outweighs caution.
Choose Relief Wisely
As we age, our decisions about health become more complicated. There are more options — and more risks. The story of this woman is not just about needles or acupuncture or arthritis. It’s about the importance of being fully informed, about seeking healing with both hope and wisdom.
Let it serve as a gentle reminder: every treatment — traditional or alternative — comes with consequences. And when it comes to your body, especially in your later years, every decision matters.
